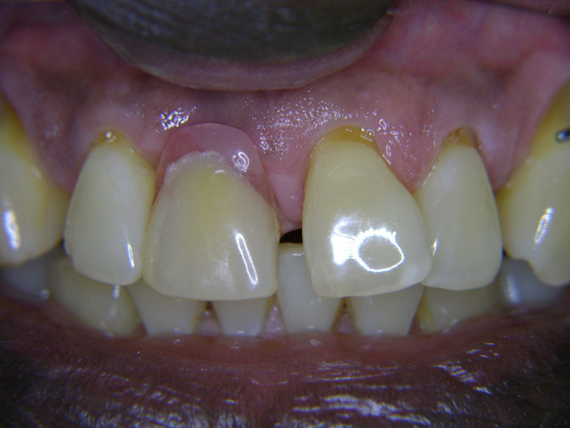
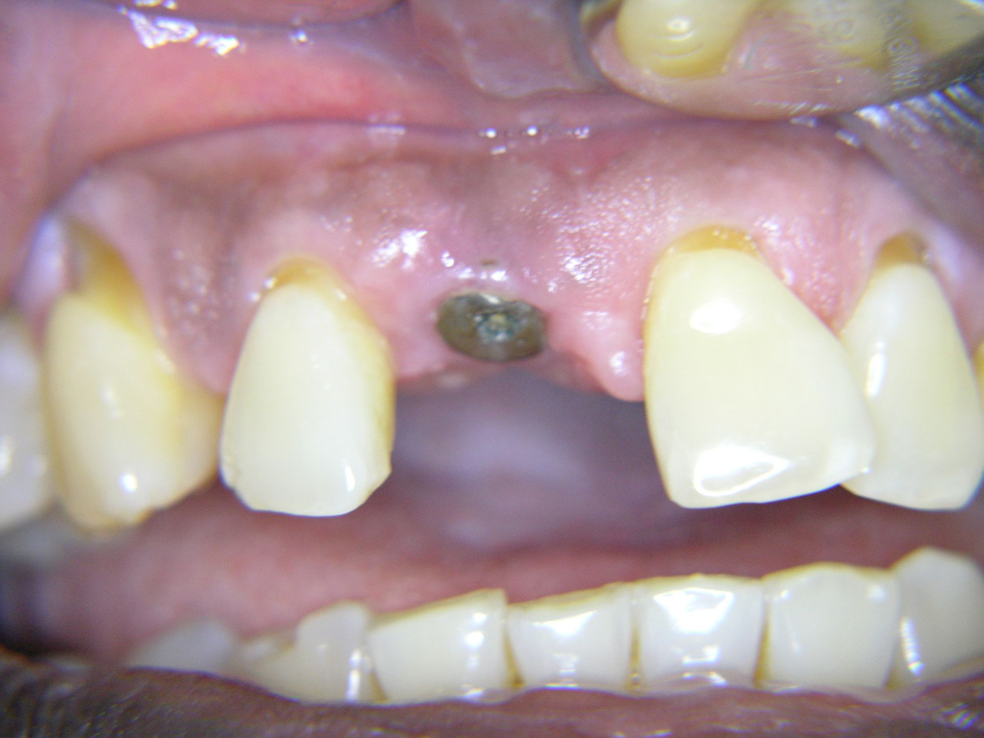
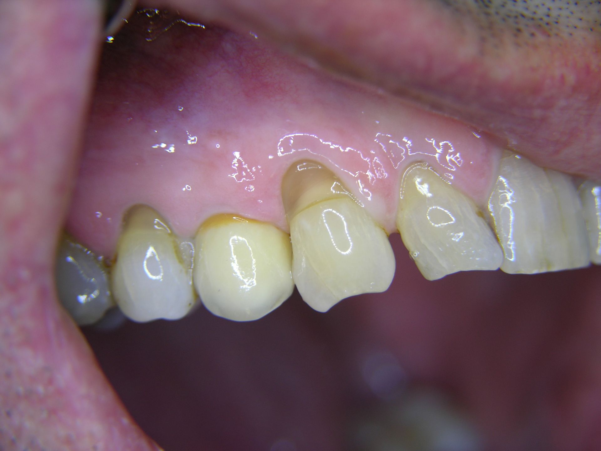
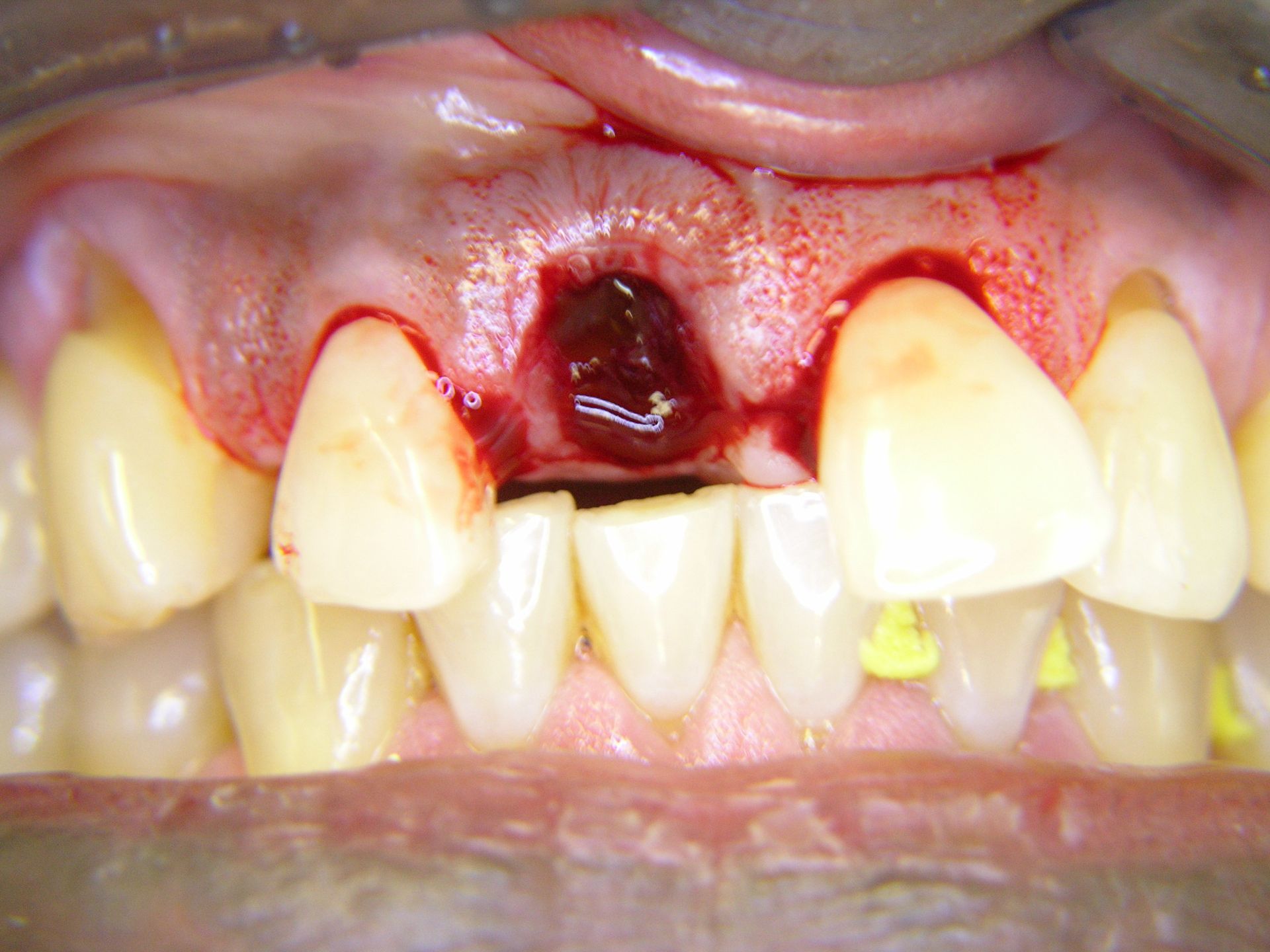
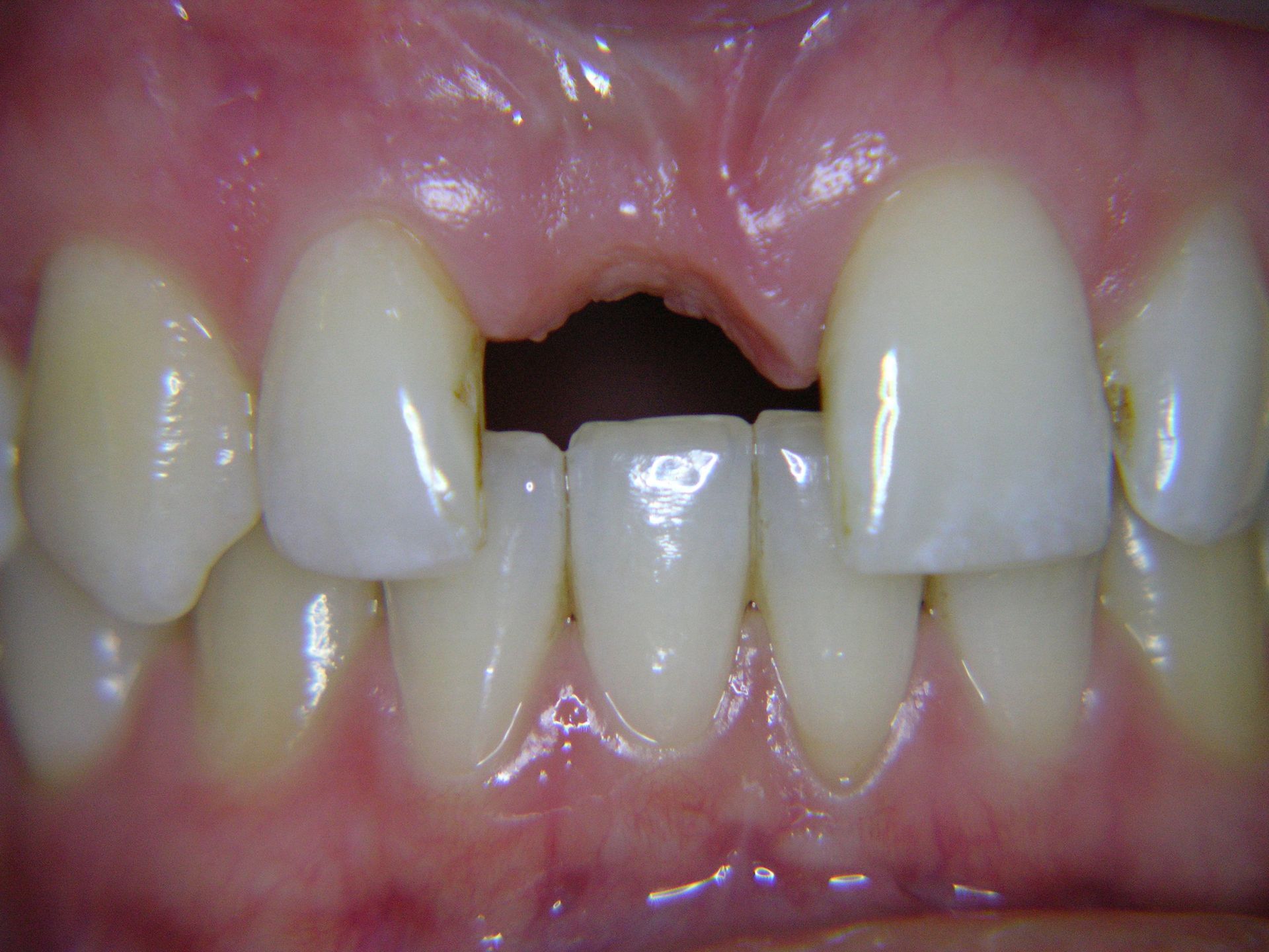
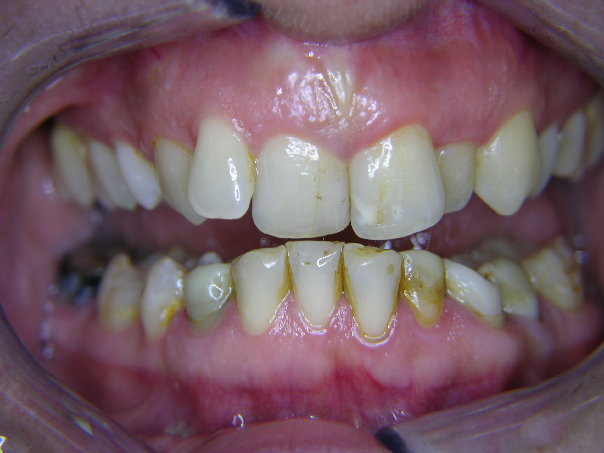
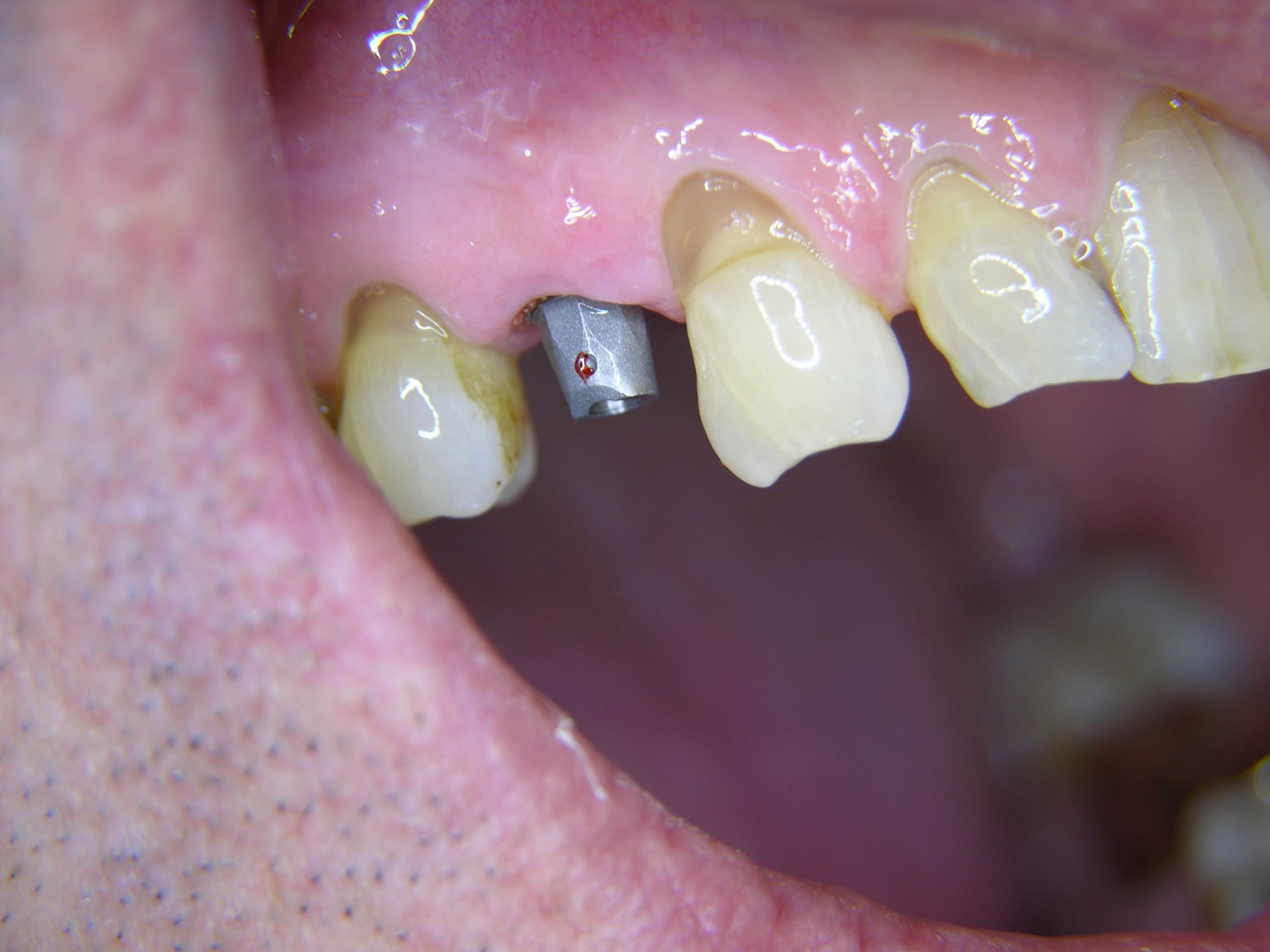
Beispiele von Versorgungen
Filme (Interviews mit uns in Gesundheitssendungen) zum Thema Implantate und Aesthetik können unter dem Link YouTube angeschaut werden -> https://www.youtube.com/user/kelkel382
Filme (Interviews mit uns in Gesundheitssendungen) zum Thema Implantate und Aesthetik können unter dem Link YouTube angeschaut werden -> https://www.youtube.com/user/kelkel382